Bones and Joints November 22, 2021 Share to Facebook Share to Twitter Share to LinkedIn Share via Email Rush Offers New Minimally Invasive Treatment for Pelvic Cancer Content Hub Cancer Research & Advances
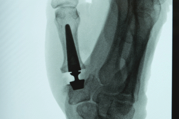
Bones and Joints Rush Offers First Thumb Joint Replacement in U.S. A new modular 3-part thumb joint replacement allows early return to strong and pain-free function
Bones and Joints 5 Facts About Shoulder Injuries Learn about the common causes of shoulder injuries, and what to do if pain is affecting your daily life
Bones and Joints Care for Your Running Shoes Properly fitted and well-maintained footwear can help protect you from running-related injuries