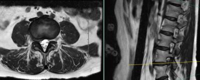
Preoperative MRI showing far lateral and foraminal right L4-5 disc herniation

Transforaminal Endoscopic Discectomy for Treatment of Lateral Disc Herniation

By Timothy Wang, MD

History

A female patient in her 50s spontaneously developed severe right-sided back and lateral thigh and shin pain that had dramatically worsened in the time prior to our clinic visit.

Her imaging demonstrated a sizable paracentral and far lateral disc herniation on the right side at L4-5. She had obtained an initial opinion at a neighboring tertiary care academic medical center who recommended a fusion as they felt that a total facetectomy was needed to fully decompress the existing and traversing nerve root.

Presentation

She sought a second opinion with me as she was hesitant to undergo fusion surgery. When she presented to my clinic, she had no evidence of weakness, but did have severe pain and sensory changes in the right hip, anterior thigh and knee, reflective of an L4 radiculopathy.

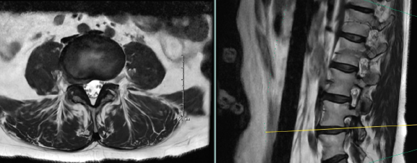
Preoperative MRI showing far lateral and foraminal right L4-5 disc herniation
Preoperative MRI showing far lateral and foraminal right L4-5 disc herniation

Given her imaging findings, I felt that a transforaminal endoscopic discectomy would be able to adequately decompress the far lateral component as well as the paracentral component. This ultra-minimally invasive surgery would involve a 1cm incision and almost zero blood loss, and would be a same-day outpatient surgery. She decided to proceed with the endoscopic discectomy.

Treatment

The surgical time for the endoscopic discectomy was 40 minutes; the patient noticed immediate improvement in pain postoperatively.

Intraoperative AP fluoroscopy demonstrating targeting through Kambin’s triangle
Intraoperative AP fluoroscopy demonstrating targeting through Kambin’s triangle

Intraoperative AP fluoroscopy demonstrating removal of the disc fragment with pituitary rongeurs
Intraoperative AP fluoroscopy demonstrating removal of the disc fragment with pituitary rongeurs

Outcome

The patient is now more than three months out from surgery. She continues to be pain free and is now back to doing all of her previous activities with no disability.

Analysis

Endoscopic spine surgery is an ultra-minimally invasive, outpatient approach that can treat these disc herniations with a high rate of success with minimal surgical time, minimal blood loss and high patient satisfaction. It also may be a safe alternative for patients with far lateral disc herniations and other degenerative spinal pathology.

Meet the Author

Timothy Wang, MD

Timothy Wang, MD

Neurological Surgery Request an Appointment