Rush tower at night

Preperitoneal mesh repair for patient with recurrent ventral hernia

Case Study By Brittany Mead, MD

History

A female patient in her 70s has a history of a multiple recurrent incisional ventral hernia. The patient has had at least seven revisional hernia surgeries. She presented with a large recurrent incisional ventral hernia that spanned the length of her midline which was widest in the M1 distribution on imaging.

She had a chronic draining wound at the superior aspect of her incision for which she had been seeing wound care and trying to care for at home. She wore an abdominal binder daily to try and keep the hernia from enlarging and to support her abdominal wall, which she felt was very heavy and disabling.

Presentation and Examination

On exam, the patient had a large incisional ventral hernia with a small draining wound at the superior aspect of the hernia. She had thinning skin over the hernia defect itself, which was largest in the M1 distribution (up under the xiphoid process).

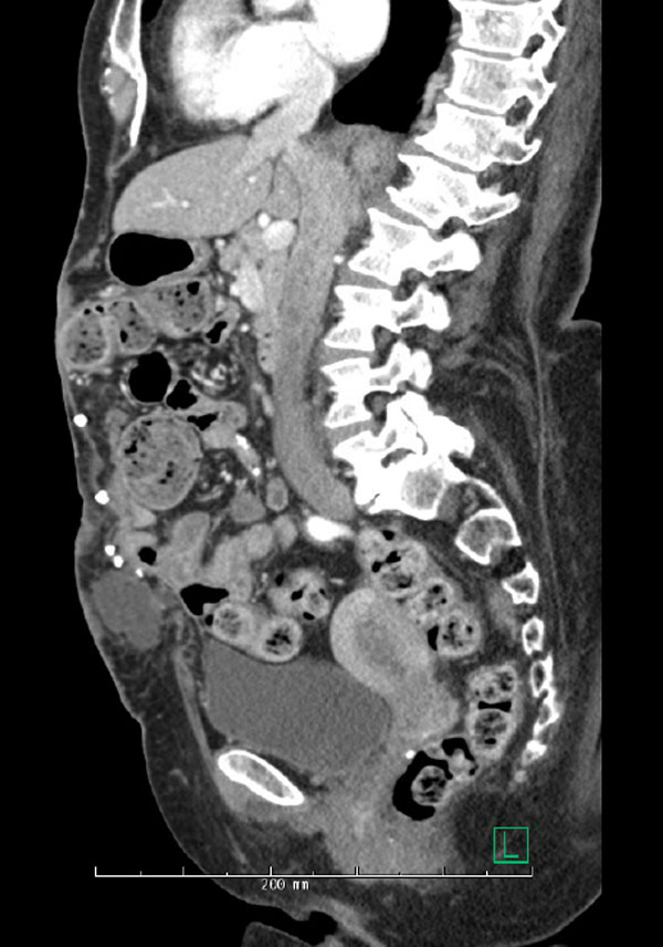
On imaging, she had a 12 x 20 cm area with evidence of multiple old pieces of mesh, metal tacks and a fluid collection in close proximity to the draining wound, which was concerning for a mesh fistula.

Treatment

The patient received a complete abdominal wall reconstruction with open ventral hernia repair, excision of three pieces of old mesh, excision of 15+ foreign bodies, including metal tacks and permanent suture material, in addition to complete excision of the fluid cavity and mesh that was associated with her chronic wound.

A large piece of Strattice mesh (30x 30x) was placed into the preperitoneal space to buttress this repair. Tailor tacking was used to excise the thinning skin and reapproximate it in the midline.

Pre-operative image of draining sinus tract
Pre-operative image of draining sinus tract

Hernia with fluid collection and tacks
Hernia with fluid collection and tacks

 

Outcome

The patient did very well post operatively. Her incisional wound vac and transfascial drain were removed prior to discharge. Her staples and subcutaneous drain were removed in clinic two weeks post-operatively. She no longer has any drainage from her abdominal wall and felt immediate improvement in her core stability.

Analysis

Recurrent ventral hernia is a difficult problem that requires complex decision making and a unique skill set. For each patient's state-of-the-art abdominal wall reconstruction, evidence-based interventions are used to provide durable results that improve core function and provide excellent patient outcomes.

Preperitoneal hernia repair is a unique approach to placing underlay mesh that is safe and allows for broad mesh overlap due to the minimal anatomical boundaries of the preperitoneal space. It prioritizes sterile handling and optimal mesh placement, ensuring durability and effective long-term outcomes compared to onlay and inlay mesh placements. Overall, this technique is advantageous as it allows for an overall reduction in hernia recurrence.

Meet the Author

Brittany Mead, MD

Brittany Mead, MD

Surgery Make an Appointment