Rush skyline

Mitomycin Intravascular Chemoembolization: A Treatment for Corneal Neovascularization

Case Study By Leah Doro, MD, and Oscar Chen, MD

Introduction

Mitomycin C (MMC) is an antineoplastic antibiotic that acts through DNA crosslinking and inhibition of DNA synthesis. It is used in oncology as a chemo-embolic agent that inhibits vascular endothelial cell proliferation and causes irreversible destruction of the vessel endothelium.[1,2,3]

Mitomycin intravascular chemoembolization (MICE) is a novel treatment for corneal neovascularization (NV) that was popularized by Dean Ouano, MD, at Duke University. MICE has been used for patients with corneal NV resulting in lipid keratopathy encroaching upon the visual axis.

For a patient to be a good candidate, the underlying etiology of the lipid keratopathy must be controlled, there must be no signs of active inflammation, and they must have failed treatment with topical steroids. In this report, we present the first use of MICE therapy to treat lipid keratopathy at Rush University Medical Center used in a female in her 20s.

Report

The patient is a female in her 20s presenting for a second opinion regarding decreased visual acuity in the left eye.

History

She has a history of Stevens-Johnson syndrome at the age of 3, resulting from azithromycin use with subsequent decreased vision in both eyes. A trial of contact lenses during her teen years improved her vision, but she could not tolerate them due to discomfort. Treatment at that time consisted of aggressive lubrication and cyclosporine drops twice daily in both eyes.

Presentation

On initial evaluation, she was noted to have light perception vision in the right eye and 20/100 vision in the left eye. Her poor vision was attributed to her ocular surface disease. Her right eye had complete conjunctivalization of the ocular surface with opacification of the cornea. The left eye had anterior stromal corneal NV with a deep stromal scar and lipid keratopathy extending from the nasal limbus centrally into the visual axis. The exam was also notable for bilateral symblepharon, forniceal shortening and scarred puncta.

Given her history of failing conservative treatment and worsening vision, the decision was made to pursue MICE therapy for the left eye.

External photograph of the left eye
External photograph of the left eye; at 8 o'clock there is anterior stromal corneal NV extending centrally with a vascular deep stromal scar extending into the visual axis; at 9 o'clock there is a circular keratinized plaque at the limbus

Treatment

The MICE procedure in our patient was performed in the operating room under local sedation, although some patients may be amenable to undergoing the procedure at the slit lamp.

The following protocol was used to treat the corneal NV at the 8 o’clock position: 4 A 1.0cc slip luer syringe fitted with a thin walled 33-gauge needle was filled with 0.2mL of 0.04% MMC. The needle was carefully threaded onto the lumen vessel. The MMC was injected with enough hydrostatic force to instill the medication into both the efferent and afferent corneal vessels.

The technique required a shallow angle of needle penetration, less than 15 degrees from the corneal surface to cannulate the vessel without perforation. Only one vessel required treatment in our patient’s case, but the treatment may be performed in all flowing vessels to maximize the chances of success.

Post procedure, the patient was started on prednisolone forte drops four times per day. At one month postoperatively, there was significant regression of the treated vessel and improvement in visual acuity to 20/70.

Intra-operative photograph demonstrating corneal vessel cannulation
Intra-operative photograph demonstrating corneal vessel cannulation

 

Intra-operative photograph demonstrating vessel blanching with injection of MMC
Intra-operative photograph demonstrating vessel blanching with injection of MMC

 

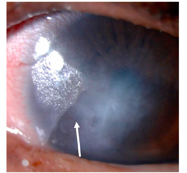
Post operative week 1 photograph demonstrating persistence of corneal NV at 8 o'clock (arrow)
Post operative week 1 photograph demonstrating persistence of corneal NV at 8 o'clock (arrow)

 

Post operative month 1 photograph demonstrating regressed corneal NV at 8 o'clock (arrow)
Post operative month 1 photograph demonstrating regressed corneal NV at 8 o'clock (arrow)

 

Discussion

Review of the literature reveals one retrospective case series of eight patients (Velazquez DC et al) with stable corneal NV from any etiology that showed significant regression of corneal NV after MICE therapy based on pixel counts from slit lamp photographs. This study also had two participants undergo successful penetrating keratoplasty after MICE therapy with no adverse events reported during a median follow up period of one year.[5]

Another retrospective case series reported three patients with corneal NV from herpes zoster or idiopathic lipid keratopathy, improving their pre-operative vision from a range of 20/30 to 20/100 to a best corrected visual acuity of 20/20 within one year of MICE therapy.[4] Based on these results, we hope that our patient’s vision will continue to improve over time, though her prognosis remains guarded given the severity and longstanding nature of her disease.

MICE is an investigational procedure for patients with corneal NV that may be considered as a primary treatment or as pre-treatment prior to a penetrating keratoplasty. It is a relatively non-invasive procedure with minimal side effects but does require technical skill. It can be performed in the operating room as in our case, or at the slit lamp in select patients with the use of adequate magnification and saline irrigation to prevent additional surface toxicity.

References

  1. Vogl TJ, Naguib NN, Nour-Eldin NE, Eichler K, Zangos S, Gruber-Rouh T. Transarterial chemoembolization (TACE) with mitomycin C and gemcitabine for liver metastases in breast cancer. European radiology. 2010 Jan;20:173-80.
  2. Kato T, Nemoto R, Mori H, Takahashi M, Harada M. Arterial chemoembolization with mitomycin C microcapsules in the treatment of primary or secondary carcinoma of the kidney, liver, bone and intrapelvic organs. Cancer. 1981 Aug 1;48(3):674-80.
  3. Hoorn CM, Wagner JG, Petry TW, Roth RA. Toxicity of mitomycin C toward cultured pulmonary artery endothelium. Toxicology and applied pharmacology. 1995 Jan 1;130(1):87-94.
  4. Mimouni M, Ouano D. Initial outcomes of mitomycin intravascular chemoembolization (MICE) for corneal neovascularization. International Ophthalmology. 2022 Aug;42(8):2407-16.
  5. Velazquez DC, Ortiz-Morales G, Vera-Duarte GR, Navas A, Ramirez-Miranda A, Graue-Hernandez EO. Mitomycin Intravascular Chemoembolization for Corneal Neovascularization. Cornea. 2022 May 13:10-97.